Tin tức
Sự khác biệt giữa Huro Path T và Huro Path S mà bạn nên biết
Nội Dung
Hai dòng sản phẩm nổi bật – Huro Path T và Huro Path S – hiện được nhiều bệnh viện và trung tâm xét nghiệm tại Việt Nam tin dùng. Tuy cùng thuộc hệ thống xử lý mẫu tế bào tự động của hãng Huro, nhưng mỗi model lại có những đặc điểm kỹ thuật, công suất và ứng dụng khác nhau. Bài viết dưới đây giúp bạn hiểu rõ sự khác biệt để có lựa chọn tối ưu nhất.
Tổng quan về công nghệ Huro Path
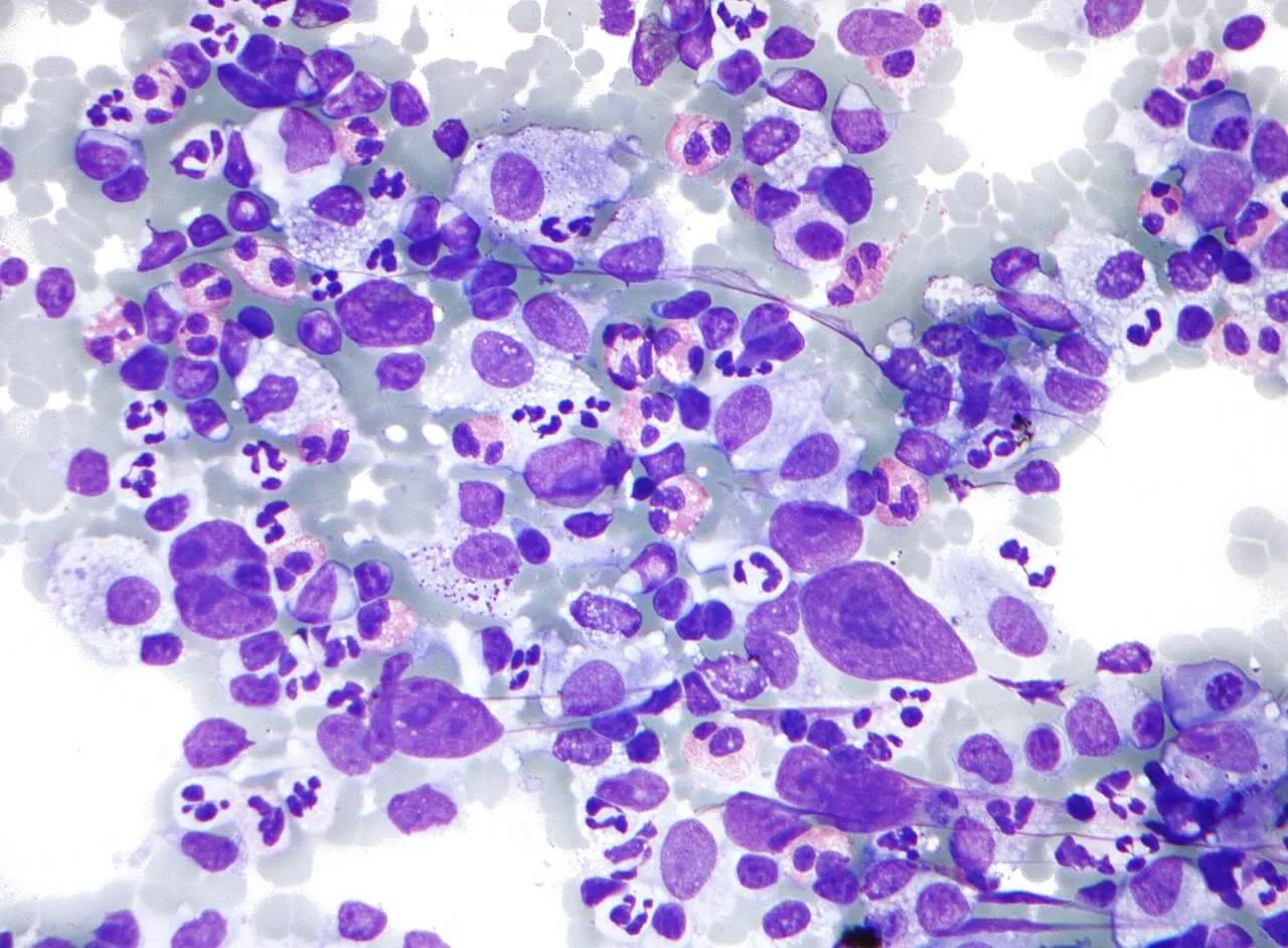
Công nghệ Huro Path là giải pháp xét nghiệm tế bào học trên nền dịch (LBC) hiện đại, ứng dụng trong tầm soát ung thư cổ tử cung, tuyến giáp, phổi, bàng quang, dịch cơ thể...
Hệ thống hoạt động theo nguyên tắc:
- Tách và lọc tế bào từ mẫu dung dịch bảo quản chuyên dụng.
- Loại bỏ tạp chất, máu, nhầy và các thành phần không cần thiết.
- Trải mẫu tế bào mỏng, đồng đều lên lam kính để soi dưới kính hiển vi.

Nhờ đó, hình ảnh tế bào thu được rõ nét, chính xác và ổn định, giúp bác sĩ chẩn đoán dễ dàng hơn so với phương pháp truyền thống.
So sánh chi tiết giữa Huro Path T và Huro Path S
| Tiêu chí | Huro Path T | Huro Path S |
| Đối tượng sử dụng | Phòng xét nghiệm lớn, bệnh viện trung ương | Phòng xét nghiệm vừa và nhỏ, phòng khám tư |
| Công suất xử lý mẫu | Cao – phù hợp cho khối lượng mẫu lớn | Trung bình – đáp ứng nhu cầu cơ bản |
| Tự động hóa | Hoàn toàn tự động, thao tác tối thiểu | B bán tự động, cần một số thao tác hỗ trợ |
| Tốc độ xử lý | Nhanh, tiết kiệm thời gian | Chậm hơn một chút nhưng vẫn ổn định |
| Giao diện và phần mềm | Màn hình cảm ứng lớn, dễ điều khiển | Giao diện cơ bản, thân thiện với người dùng |
| Độ chính xác và ổn định | Rất cao, hỗ trợ các mẫu khó | Cao, phù hợp với mẫu tế bào thông thường |
| Chi phí đầu tư | Cao hơn, phù hợp hệ thống quy mô | Tối ưu chi phí cho cơ sở nhỏ |
| Ứng dụng điển hình | Bệnh viện đa khoa, trung tâm xét nghiệm lớn | Phòng khám phụ khoa, xét nghiệm tư nhân |
Ưu điểm nổi bật của từng model
Huro Path T
- Xử lý mẫu nhanh chóng với hiệu suất cao và độ đồng đều tối ưu.
- Tự động hóa hoàn toàn, giảm sai số do thao tác thủ công.
- Phù hợp triển khai trong các chương trình tầm soát ung thư quy mô lớn.

Huro Path S
- Thiết kế nhỏ gọn, phù hợp không gian phòng xét nghiệm hạn chế.
- Vận hành ổn định, dễ sử dụng và bảo trì.
- Lựa chọn lý tưởng cho các phòng khám tư nhân hoặc trung tâm mới thành lập.
Nên chọn Huro Path T hay Huro Path S?
Tùy theo quy mô hoạt động và khối lượng mẫu xử lý hàng ngày, bạn có thể lựa chọn model phù hợp:
- Huro Path T: dành cho đơn vị có nhu cầu xử lý nhiều mẫu, yêu cầu tự động hóa cao.
- Huro Path S: phù hợp cơ sở vừa và nhỏ, chú trọng hiệu quả chi phí và thao tác đơn giản.
Dù lựa chọn model nào, cả hai dòng thiết bị đều đảm bảo độ chính xác, hiệu quả và tính ổn định cao – yếu tố then chốt trong xét nghiệm tế bào học.

Giải pháp từ Meditech Việt Nam
Công ty CP Thiết bị Y tế Meditech Việt Nam là nhà phân phối chính hãng Huro Path tại Việt Nam, cung cấp:
- Máy Huro Path T & Huro Path S nhập khẩu chính ngạch, đạt chuẩn ISO 13485.
- Dung dịch bảo quản, lam kính và vật tư tiêu hao đồng bộ.
- Hỗ trợ kỹ thuật, đào tạo và bảo hành chính hãng.
Với kinh nghiệm lâu năm trong lĩnh vực thiết bị xét nghiệm, Meditech cam kết mang đến giải pháp LBC toàn diện, giúp các cơ sở y tế nâng cao năng lực chẩn đoán và tối ưu vận hành phòng xét nghiệm.
Cả Huro Path T và Huro Path S đều là những lựa chọn xuất sắc trong xét nghiệm tế bào học hiện đại. Điểm khác biệt chủ yếu nằm ở công suất, mức độ tự động hóa và đối tượng sử dụng. Việc lựa chọn đúng model sẽ giúp phòng xét nghiệm vận hành hiệu quả, tiết kiệm chi phí và đảm bảo chất lượng chẩn đoán cao nhất. Liên hệ ngay Meditech Việt Nam để được tư vấn chi tiết và demo thiết bị Huro Path phù hợp với nhu cầu của bạn.